Chun-Chin Chang
Latest contributions
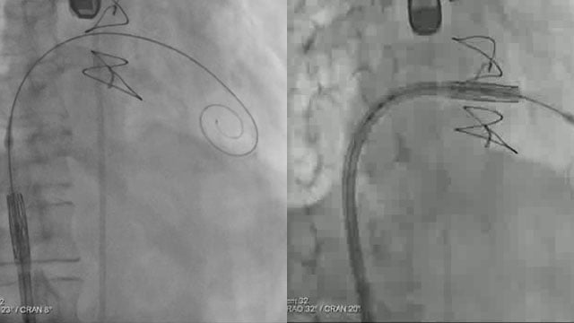
A simple maneuver to track the wire during a transseptal mitral valve-in-valve procedure
05 Nov 2025
Advancing a transcatheter heart valve through the septostomy can be tricky, with the wire sometimes prolapsing into the left atrium.
This step-by-step tutorial demonstrates a simple yet effective maneuver that allows smooth, controlled navigation from the right atrium to the mitral position, ensuring precise valve deployment.

Author

Author

Author

Author

Author
TAVI and coronary artery disease
08 Feb 2025 – From PCR Tokyo Valves 2025
Delve into the complex interplay between TAVI and coronary artery disease in this comprehensive session. Explore the decision-making process for optimal sequencing of PCI and TAVI, and examine cases of acute myocardial infarction due to coronary embolism and delayed coronary obstruction following TAVI. Gain insights into...
Selection of the 2024 best abstracts
17 Feb 2024 – From PCR Tokyo Valves 2024
Explore the most outstanding abstracts from PCR Tokyo Valves 2024, such as a study on the disparity in impact of bleeding after TAVI on long-term mortality between Asian and Nordic population, learning about two-year clinical outcomes of staged transcatheter mitral edge-to-edge repair after TAVR, and a...
Rapid-fire - Tricuspid valve interventions in various situations
17 Feb 2024 – From PCR Tokyo Valves 2024
Explore a diverse range of tricuspid valve interventions through various rapid-fire case studies. Learn about a successful TEER of torrential pentacuspid tricuspid regurgitation, gain insight into a percutaneous transcatheter balloon valvuloplasty as a bridge therapy for bioprosthetic tricuspid stenosis, and more!