The mystery of the vanishing coronary artery: a shocking angiographic revelation
Image in interventional cardiovascular medicine: what is displayed on this image? ... And do not hesitate to comment on how you would treat this case!
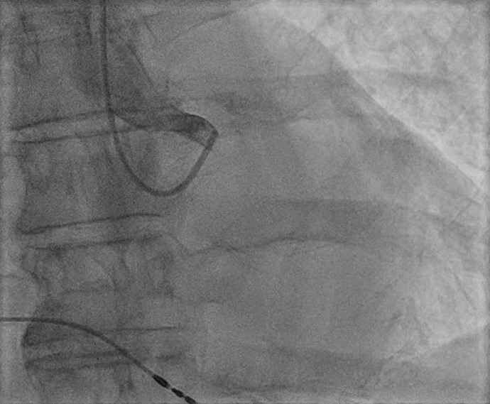
A 66-year-old male patient was brought in for urgent coronary angiography due to cardiogenic shock. ECG showed a paced rhythm with intermittent ST-elevation in aVR and global ST depression. He had a history of permanent atrial fibrillation and a permanent pacemaker.
An image is worth a 1,000 words: participate in the quiz below to tell us what you see in this image!

The mystery of the vanishing coronary artery: a shocking angiographic revelation
Authors
Sam Tundu1
- Northern General Hospital, Sheffield
No comments yet!