My PCR
Login
Create Account
Login Create Account
Logo PCR Companion desktop Logo PCR Companion mobile
Logo PCR
  • Topics
    • Coronary Interventions
      • STEMI
      • NSTEMI
      • Stable CAD
      • Stents, scaffolds and DCB
      • Left main and multivessel disease
      • Bifurcation lesions
      • CTO
      • Other coronary interventions
    • Interventions for Valvular Disease
      • TAVI
      • Mitral valve replacement and repair
      • Tricuspid / Pulmonary valve
      • Other valvular and structural interventions
    • Interventions for Heart failure
      • Acute heart failure
      • Chronic heart failure
    • Peripheral Interventions
      • Below the knee
      • AAA
      • Iliac / Femoral / Popliteal
      • Other peripheral interventions
    • Interventions for Hypertension
      • Renal artery angioplasty
      • Renal denervation
      • Other hypertension
    • Interventions for Stroke
      • Carotid stenting
      • LAA Closure
      • Ischaemic stroke
      • Other stroke interventions
  • Courses
    • Courses Overview
      • Educational Funds
      • LIVE Demonstrations
      • Building education
      • PCR Submissions
      • PCR Glossary
    • General
      • EuroPCR
      • GulfPCR-GIM
      • AICT-AsiaPCR
      • SASCI-AfricaPCR
    • Valvular interventions
      • PCR London Valves
      • PCR Fundamentals Course 
      • PCR-CIT China Chengdu Valves
      • PCR Tokyo Valves
      • PCR Imaging Valves Madrid
      • PCR Gulf Valves
      • PCR Rio Valves
      • AVAM
    • Other Courses
      • PCR Innovators Day
      • PCR Fellows Course
      • PCR Seminars
      • PCR Global Interventional Academy
      • Euro4C Annual meeting
    • Certifications
      • Advanced Course on Transseptal Puncture
      • Alfieri's Boot Camp
  • Cases & Resources
    • Course Resources
      • Course slides & videos
      • Educational interviews
      • Abstract Books
    • Cases
      • Euro4C cases
      • LIVE cases
      • Read & Share cases
      • Twitter cases
    • Tools & Practice
      • My Toolkit
      • The Essentials
      • Anatomy of the aortic valvar complex
      • Aortic stenosis patient booklets
    • Complications
      • Managing complications: cases, videos and resources
    • Images in Cardiology
      • An image is worth a 1,000 words: EuroPCR
      • EuroIntervention: image in cardiology
    • Zoom on
      • Interventional CV imaging
      • Calcified lesions
      • Interventional CV surgery
      • Radial approach
      • Research, cases and webinars in tricuspid interventions
  • Webinars
    • Upcoming Webinars
      • Calendar
      • Testimonials
    • Series by topic
      • Coronary Interventions
      • Interventions for Valvular Disease
      • Interventions for Hypertension
      • Interventions for Stroke
    • PCR Edu online
      • Heart to Heart Conversations
      • Radial approach
  • News
    • Newsroom
      • What's new in Interventional Cardiology
      • PCR Press Releases
      • Industry Press Releases
    • Industry Partner Perspectives
      • Sponsored Content
  • Publications
    • Textbooks
      • The PCR Textbook
      • PCI Textbook
      • The History of Coronary Angioplasty
    • Academic Journals
      • EuroIntervention
      • AsiaIntervention
    • Journal Reviews
      • PCR Journal Club
      • PCR Journal Club team
    • Trials
      • The PCR Trials Book
    • Podcasts
      • PCR Perspectives
      • Heart to Heart
      • Angioplasty history
      • EuroIntervention podcasts
  • About PCR
    • Who we are
      • Mission Statement
      • PCR Board
      • PCR People
      • History of PCR
      • PCRonline Editorial Board
      • How we train educators
    • A platform of communities
      • Mitral Focus Group
      • MCS Focus Group
      • Tricuspid Focus Group
      • Euro4C
    • Friends of PCR
      • Improving Heart Function (iHF)
      • Education in cardiology
      • We CARE
    • Connect with PCR
      • MyPCR
      • PCR Companions
      • PCR Newsletters
      • PCR Charter
    • The history of interventional cardiology
      • The history of angioplasty
      • The history of TAVI

Advertisement

  • PCRonline/
  • Cases & Resources/
  • Images Interventional Cardiology/
  • Images 1000 words

An image is worth 1,000 words - #EuroPCR 2025

To highlight the importance of imaging in interventional cardiovascular medicine, view these interesting and puzzling images selected for EuroPCR 2025. Don't forget to comment by telling us what you see, and do share them via social media using the hashtag #EuroPCR.

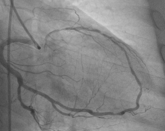
Tangled web
Tangled web
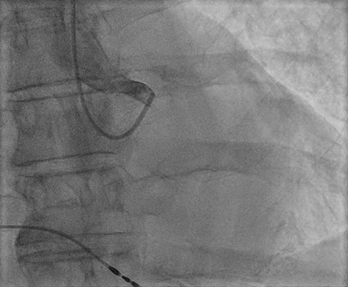
A long winding road
A long winding road
Unravelling a puzzle
Unravelling a puzzle
Caught in the act
Caught in the act
When nothing goes left, go right
When nothing goes left, go right
Heart in heart
Heart in heart
Very late stent thrombosis
Very late stent thrombosis
When reflected light gives you a diagnosis
When reflected light gives you a diagnosis
The unseen
The unseen
What is it with that crumpled coronary: a lesion or a pseudo-lesion?
What is it with that crumpled coronary: a lesion or a pseudo-lesion?
What can you perceive except for a human heart?
What can you perceive except for a human heart?
Ying-yang of good and bad choices, seeking light in the shadow of complications.
Ying-yang of good and bad choices, seeking light in the shadow of complications.
What is this dye hanging distal to the stent?
What is this dye hanging distal to the stent?
Calcified breast in the heart: which imaging modality is diagnostic? Invasive or non-invasive?
Calcified breast in the heart: which imaging modality is diagnostic? Invasive or non-invasive?
What's the "Cauliflower" on OCT?
What's the "Cauliflower" on OCT?
A left ventricle like a Boletus Aereus
A left ventricle like a Boletus Aereus
Multimodality imaging in cardiology unveils the rarest diagnostic possibilities!
Multimodality imaging in cardiology unveils the rarest diagnostic possibilities!
Iron Man
Iron Man
The mystery of the vanishing coronary artery: a shocking angiographic revelation
The mystery of the vanishing coronary artery: a shocking angiographic revelation
Pop art perspective: A coronary conundrum
Pop art perspective: A coronary conundrum
  • ← previous
  • 1
  • 2
  • next →
PCR online logo

By and For the Interventional Cardiovascular Community. Sharing knowledge, experience and practice in cardiovascular interventional medicine

Subscribe to our Newsletter

Newsletter

General Courses

  • EuroPCR
  • AICT-AsiaPCR
  • GulfPCR-GIM
  • SASCI-AfricaPCR

Courses on Valvular Interventions

  • PCR London Valves
  • PCR Fundamentals Course 
  • PCR-CIT China Chengdu Valves
  • PCR Tokyo Valves
  • PCR Imaging Valves Madrid
  • PCR Gulf Valves
  • PCR Rio Valves
  • AVAM

Other Courses

  • PCR Innovators Day
  • PCR Fellows Course
  • PCR Seminars

Online education

  • PCR Edu Online
  • PCR Webinars

Cardiology Event Calendar

 

PCR Companions

 

Online store

  • PCR bookshop

Additional Resources

  • Course Resources
  • Social Media for Healthcare Professionals
  • Women in Interventional Cardiology

Academic journals

  • EuroIntervention
  • AsiaIntervention

Textbooks

  • The PCR Textbook
  • PCI Textbook
  • The History of Coronary Angioplasty

Trials

  • The PCR Trials book

Podcasts

  • PCR Perspectives
  • Heart to Heart Conversations
  • 60 years of transluminal angioplasty

About us

  • PCR Board
  • Editorial board
  • Useful links
  • Terms and Conditions
  • Disclaimer
  • Legal notice
  • Privacy Policy
  • Cookies Policy
  • Contact us
  • Cookie management

Network

  • Improving Heart Function (iHF)
  • Mitral Focus Group
  • MCS Focus Group
  • Tricuspid Focus Group
  • We CARE
  • Euro4C
  • SHARE
© 2005-2025 Europa Group - All rights reserved