Iron Man
Image in interventional cardiovascular medicine: what is displayed on this image? ... And do not hesitate to comment on how you would treat this case!
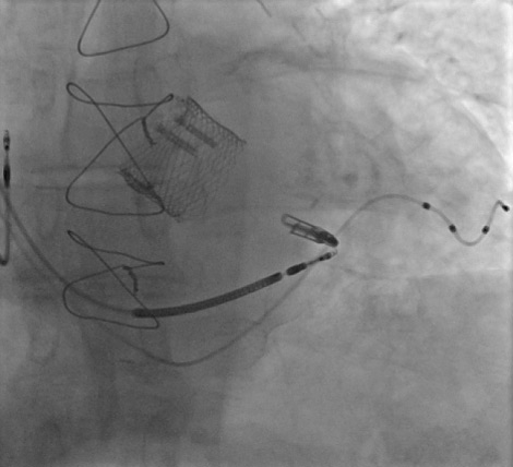
An 81-year-old man with a complex medical history and multiple prior percutaneous interventions, suffering from NYHA class II heart failure and CCS class III treatment-resistant angina, underwent coronary sinus reducer implantation.
An image is worth a 1,000 words: participate in the quiz below to tell us what you see in this image!

Iron Man
Authors
Wlodarczak Szymon1, Rola Piotr2,3, Jastrzebski Artur1, Barycki Mateusz2, Furtan Lukasz2, Kulczycki Jan1, Korda Andrzej1, Turkiewicz Karol1, Lesiak Maciej4, Wlodarczak Adrian1,3
- Copper Health Center in Lubin, Lubin, POLAND
- Provincional Specialized Hospital in Legnica, Legnica, POLAND
- Wroclaw University of Science and Technology, Wroclaw, POLAND
- Poznan University of Medical Sciences, Poznan, POLAND
2 comments
Quadripolar CRT + ICD + Lotus Valve + MitraClip + left atrial appendage occluder device.
Crtd (icd)