18 May 2022
The ability to transform coronary artery disease treatment: innovative nanotechnology-based sirolimus DES and DCB platforms
Sponsored by Concept Medical Inc.
Anchorperson:
A. Abizaid
Moderator:
M. Valgimigli
Summary
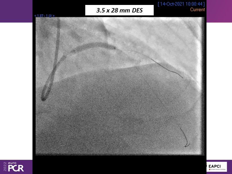
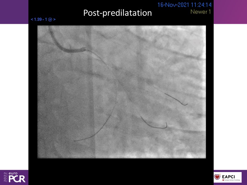
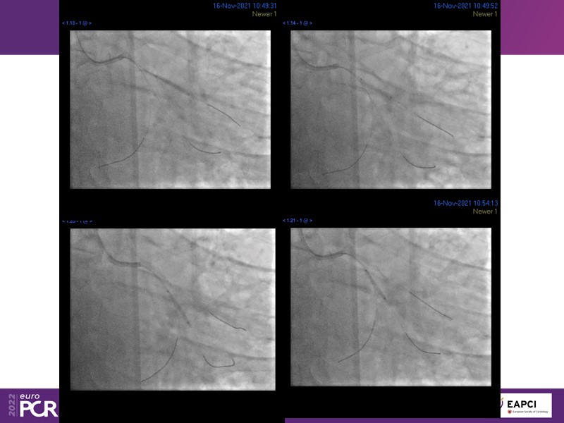
Alexandre Abizaid, Marco Valgimigli, Fazila Malik, Luca Testa, Patrick W. Serruys, Damiano Regazzoli, Kumar Prathap, and Sandeep Basavarajaiah take turns in this session to discuss two innovative technologies: a stent platform with nanotechnology and a novel drug-coated balloon (DCB). These novel technologies both have unique features that could change daily practice and improve outcomes.
Learning Objectives
- To find out more about the application and mechanism of a sirolimus coated balloon for coronary artery disease treatment with case presentations in complex settings
- To understand how useful is a DES and DCB stent platform in complex coronary artery disease settings with case demonstrations and follow-up in diabetes mellitus
- To look at the technology behind the products, what the key data suggest and important takeaways from case permutations





