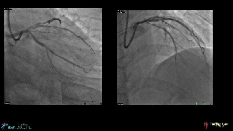
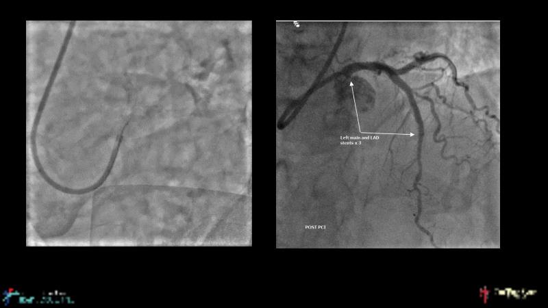
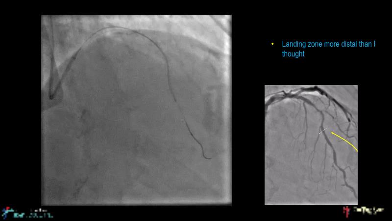
The importance of SEE-PREP-TREAT in left main bifurcation

Sponsored by Boston Scientific

Anchorperson: H. C. Tan
SHOW MORE

Summary

This session is recommended for you if you are seeking insights into the advantages of using IVUS imaging over visual assessment for better outcomes in left main bifurcation procedures. Discuss with experts the benefits of using RotaCUT in lesion preparation for left main bifurcation and explore the impact of high radial strength stents on the procedure's success.

Learning Objectives

  • To understand why the use of IVUS imaging is different from seeing with experienced eyes to achieve improved left main bifurcation outcome
  • To see advantages of RotaCUT as part of lesion preparation in left main bifurcation
  • To know how a high radial strength stent can make a difference in left main bifurcation