16 May 2023
Complex coronary artery disease: can stents and DCB be complementary?
Sponsored by Medtronic
Anchorperson:
F. Ribichini
Spokesperson:
B. Scheller
Summary
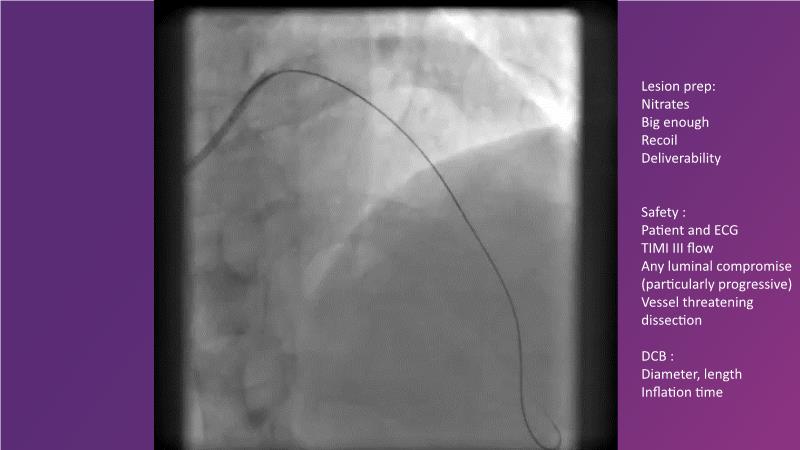
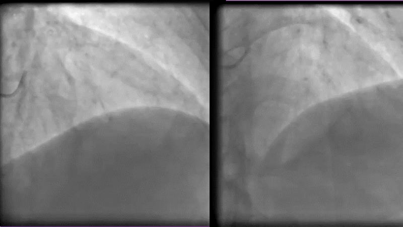
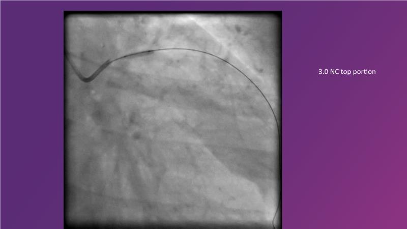
DES and DCB, can these two technologies be complementary for the treatment of the same patient? What are the advantages and how to proceed? You will know everything by watching this presentation based on concrete cases.
Learning Objectives
- To discuss cases when DCB and DES are complementary
- To appreciate short and long-term angiographic results
- To review positive remodelling effect with paclitaxel DCB



