18 May 2023
Meaningful innovations in interventional cardiology
Sponsored by Canon Medical Systems
Anchorperson:
S. Windecker
Spokesperson:
N. Amabile
Summary
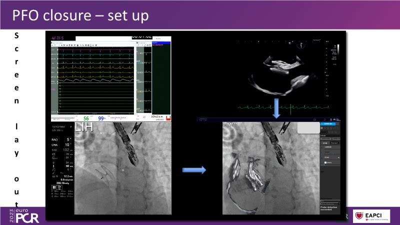
In this session, watch the case of a 56-year-old man with HTN, DM, stable CAD, PFO and previous ischaemic stroke, who presented with severely calcified CTO lesion on proximal LAD and significant mid-RCA lesion, and find out how he was treated LIVE... among others!
Learning Objectives
- To discover how Canon Medical Systems' latest technologies support your planning and procedures
- To exchange on the latest Canon Medical Systems PCI dose reduction tools
- To learn the potential benefit of deep learning technologies in your PCI/SHD procedures
- To discuss the impact of deep learning-assisted fusion images across various imaging modalities
