20 Nov 2023
The EVOQUE and PASCAL Precision systems in action: simulation- and case-based learning
Sponsored by Edwards Lifesciences
Anchorperson:
S. Dawkins
Spokesperson:
V. Rudolph
Summary
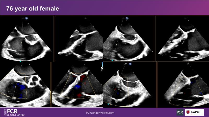
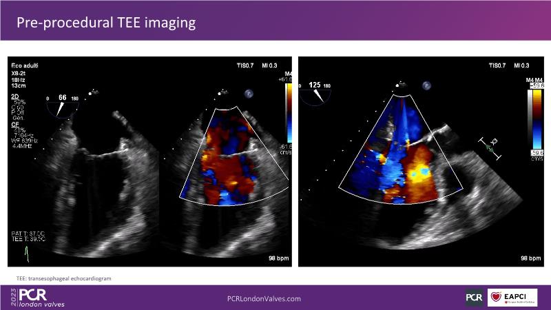
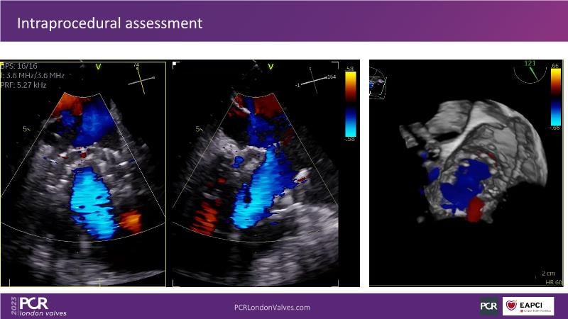
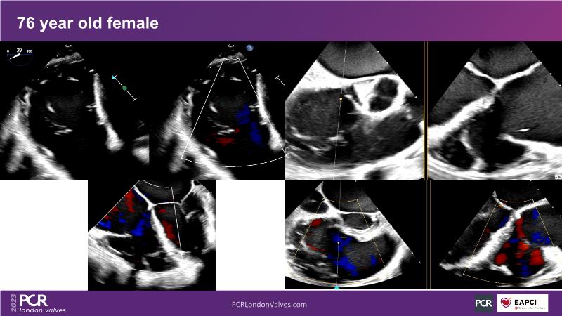
This session explores the features of the PASCAL Precision and the EVOQUE tricuspid replacement systems through simulators and case presentations, while a panel of experts discuss the technology, witnessing live demonstrations of treating mitral and tricuspid regurgitation patients.
Learning Objectives
- To learn about the differentiating features of the PASCAL Precision system showcased in a series of simulators alongside case presentations
- To interact with a panel of experts discussing the PASCAL Precision system technology and showcasing, live, its different key features in action and how they help treat mitral regurgitation and tricuspid regurgitation patients
- To introduce the EVOQUE tricuspid replacement system showcased with a simulator and a case presentation




