15 May 2024
Go beyond metal: exploring drug-eluting balloon technology in de-novo coronary lesions
Sponsored by Cordis
Anchorperson:
D. Hildick-Smith
Spokesperson:
A. Neylon
Summary
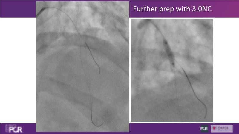
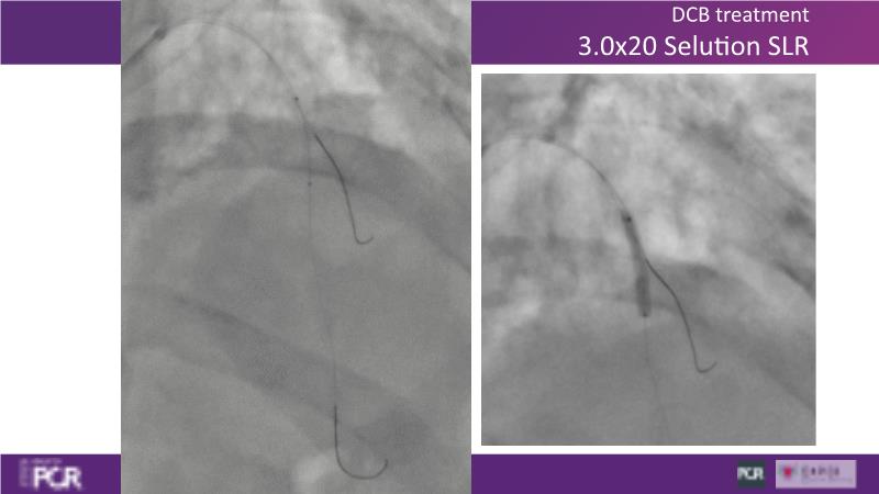
Through the study of two cases, this session examines the need for stenting bifurcation lesions and the role of DEB technology in avoiding stent-related complications in long diffuse disease. It emphasizes the benefits of SELUTION SLR balloons for de novo lesions, discussing how sustained limus release technology can broaden DEB indications and reduce metal usage, understanding the limitations of DES and the emerging role of DEB with sustained limus release, and learning how to identify dissections that can be left unstented.
Learning Objectives
- To discuss how sustained limus release technology can broaden DEB indications and reduce metal
- To understand the limitations of DES and the rationale and emerging role of DEB with sustained limus release
- To learn how to identify dissections that can be left unstented



