14 May 2024
Left main and complex bifurcation stenting
Sponsored by Terumo Interventional Systems
Anchorperson:
G. Stankovic
Spokesperson:
T. Johnson
Summary
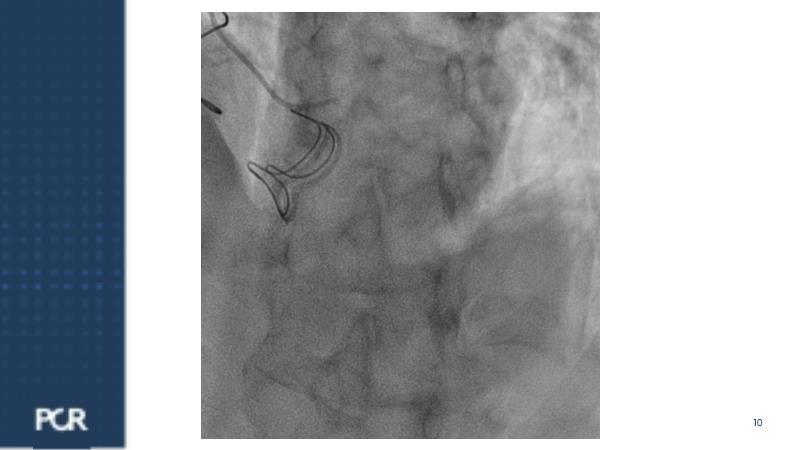
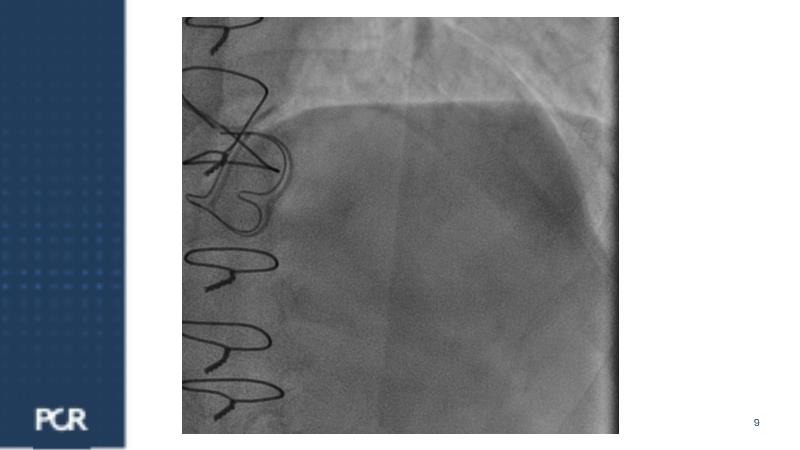
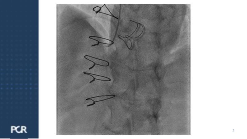
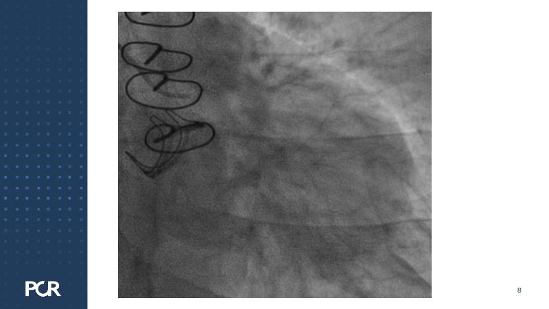
Watch this session focused on a patient with distal left main stenosis to understand that the stepwise provisional side branch (SB) stenting strategy is the standard approach for most left main trifurcation lesions. Discover the importance of optical frequency domain imaging for strategy determination and bifurcation PCI outcome optimization. Learn about the Ultimaster Nagomi™ DES, inheriting features from the Ultimaster Tansei™ stent, tailored for complex bifurcation anatomy with enhanced deliverability and overexpansion capacity.
Learning Objectives
- To understand the best treatment options for patients presenting with left main and complex bifurcations lesions
- To learn how to optimise both strategy and technique using optical frequency domain imaging technique
- To understand the mechanical properties of Ultimaster Nagomi Sirolimus Eluting Coronary Stent System and share the latest clinical results



