16 May 2024
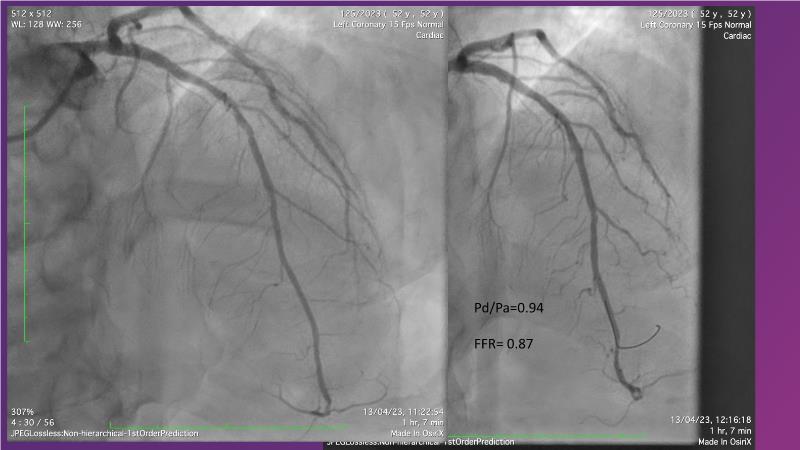
Physiology guided post-DCB treatment to safely limit stenting. Validation in complex clinical settings with the optical Optowire III pressure guidewire
Sponsored by OpSens Medical
Anchorperson:
T. Cuisset
Spokesperson:
A. Colombo
Summary
Follow this session to discover how accurate resting index can inform decision-making for DCB in CTO patients and understand the role of physiology in a new PCI workflow for complex MVD. Thus, you will learn about a DCB intention-to-treat strategy guided by post-PCI coronary physiology in complex lesions, review new procedural techniques and workflows from real-world cases, and explore the pros and cons of this novel approach.
Learning Objectives
- To learn about DCB intention-to-treat strategy guided by post-PCI coronary physiology in complex lesions
- To review new procedural technique and workflow from real world patient cases
- To reflect about pros and cons of this novel approach

