14 May 2024
Sirolimus-coated balloon: expanding the scope of indications for complex coronary artery disease treatment
Sponsored by Concept Medical Inc.
Anchorperson:
A. Colombo
Spokespersons:
A. Abizaid, R. Mehran
Summary
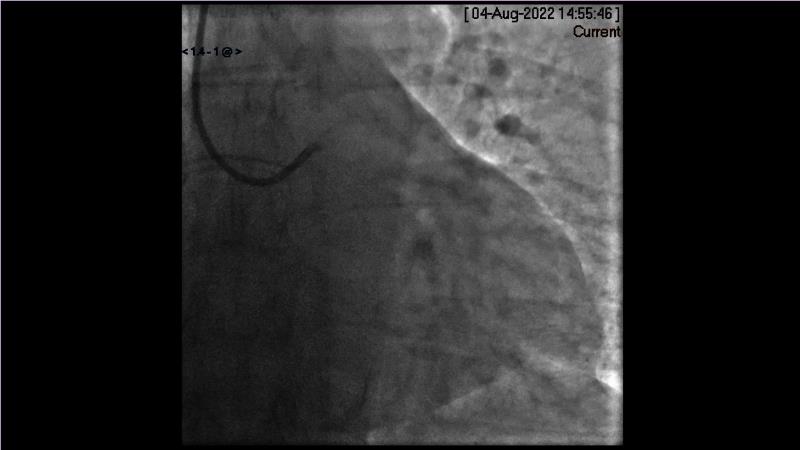
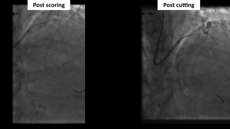
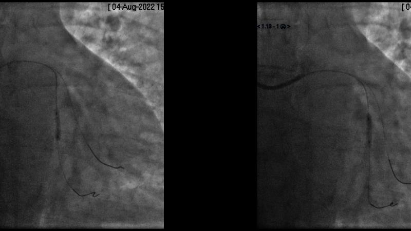
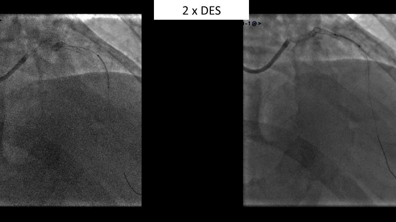
Watch this session to gain case-based insights on using DCBs in complex settings. Learn valuable tips and tricks for optimal DCB application, including the best timing and situations for their use. Discover how to effectively implement a hybrid strategy that combines DES and DCB when needed.
Learning Objectives
- To get a case based experience on how to use a DCB in complex settings
- To learn about tips and tricks on how and when to use a DCB: the ideal time and situation of DCB application in various complexities
- To utilise the hybrid strategy approach Combining DES and DCB when the situation demands





