20 May 2025
Evolving bifurcation treatment practices: drug-coated balloons, angio-based FFR, and side branch optimisation
Sponsored by Medtronic
Anchorperson:
G. Stankovic
Spokesperson:
J. F. Lassen
Summary
Explore how bifurcation treatment is evolving with the integration of drug-coated balloons, angio-based FFR, and advanced side branch optimisation. This EuroPCR 2025 session highlights why DCB is gaining traction for bifurcation lesions and introduces the upcoming EBC-DCB trial comparing a stepwise DCB strategy to provisional DES in non-left main true bifurcations. See how the POT-kissing-POT technique improves outcomes in a non-atherosclerotic model, and learn why FFRangio is proving to be a powerful wire-free tool for physiologic assessment. Hit play and stay at the forefront of bifurcation care!
Learning Objectives
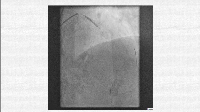
- To explore the current and potential use of drug-coated balloons in bifurcation treatment, with case illustrations and insights from the latest data
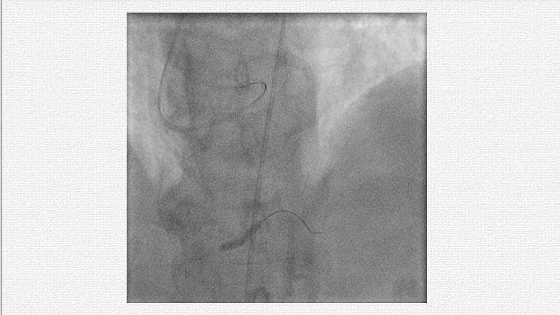
- To understand the importance of CathWorks physiology-guided treatment strategies in avoiding unnecessary side branch interventions in provisional bifurcation stenting
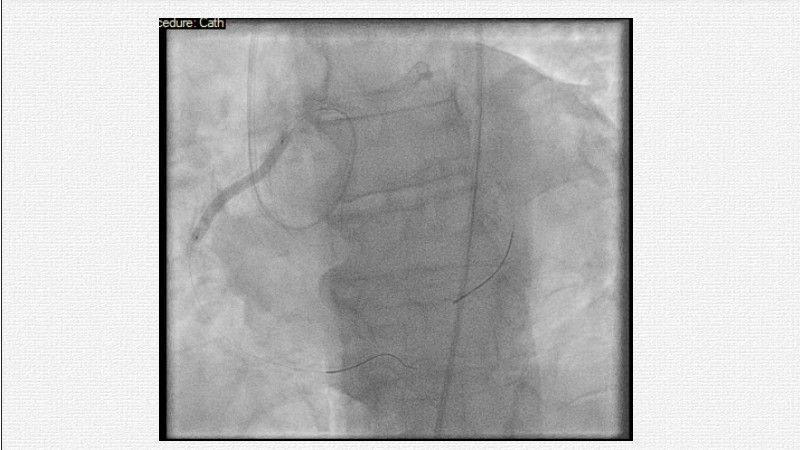
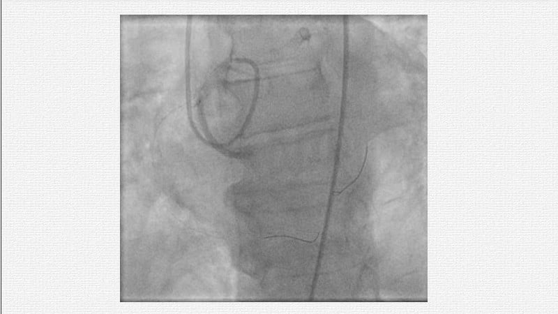
- To examine side branch optimisation techniques following main vessel stent implantation in large bifurcations


