10 Dec 2025
Seeing is believing: OCT-guided calcium modification in complex PCI
Sponsored by Abbott
Anchorperson:
I. Al Rashdan
Spokesperson:
J. Fajadet
Summary
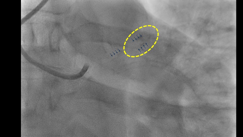
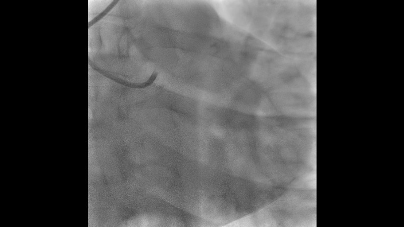
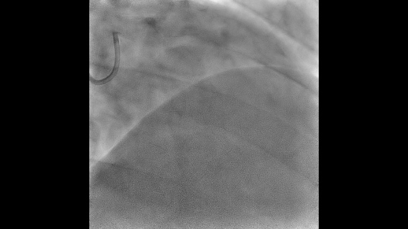
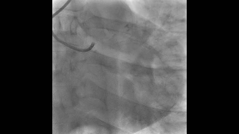
Explore the management of heavily calcified LAD lesions in this PCRGulf-GIM 2025 session. Discover how OCT imaging guides lesion assessment, differentiates superficial from deep calcium, and informs the need for plaque modification. Learn when and how to use orbital atherectomy or intravascular lithotripsy, and follow the step-by-step stent implantation, optimisation, and final evaluation using both angiography and OCT.
Learning Objectives
- To learn about the role of OCT imaging in the management of complex calcified coronary artery lesions.
- To learn indications of calcium modification using orbital atherectomy or other modalities, based on findings on OCT images.
- To learn the optimization of DES expansion by OCT in a complex calcified lesion.
