29 Sep 2025
Redefining standards: TAVI in the era of lifetime management, beyond high-risk patients
Sponsored by Abbott
Spokesperson:
M. Al Otaiby
Summary
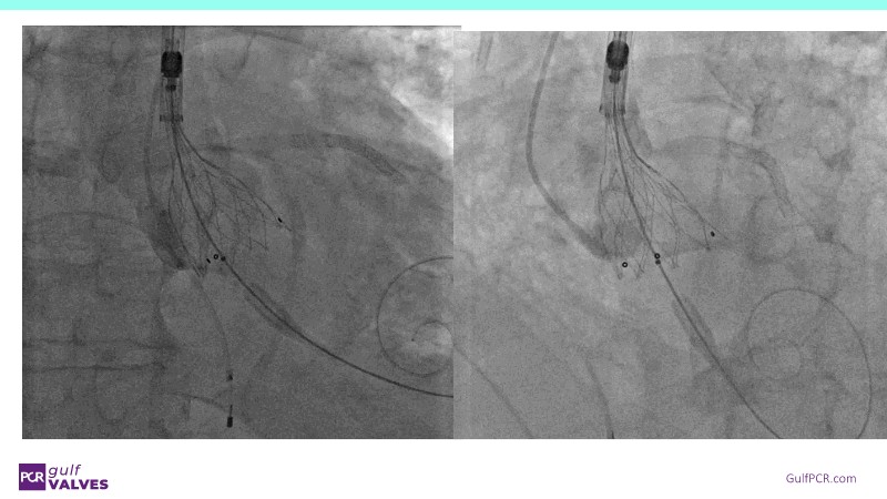
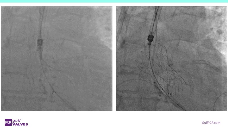
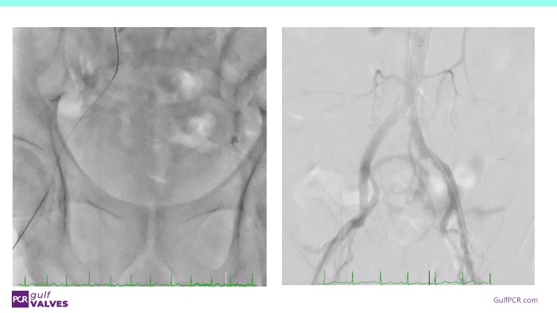
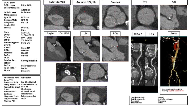
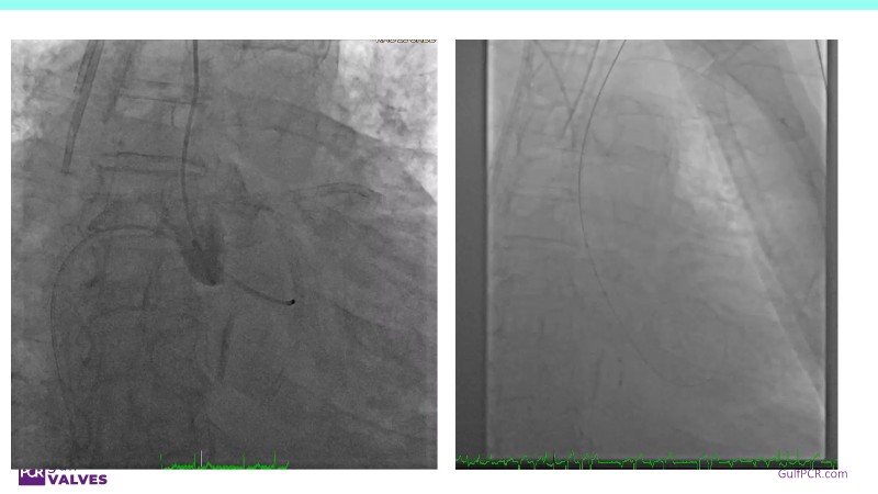
Discover a selection of cases showcasing the key features of the Navitor Valve System and its clinical applications. This session explores auxiliary access, the use of Navitor in alternative access and complex PCI, its performance in challenging peripheral anatomies, and innovative outcomes with the Vantage 30D system.
Learning Objectives
- To know more about the factors that determine the best possible TAVI outcomes in a variety of anatomical situations
- To understand how a tailored approach can help to address the lifetime management needs of individual patients
- To acquire useful tips and tricks from experienced operators
