08 Feb 2025
How to optimise the patient outcomes - Key considerations for the small body population
Sponsored by Edwards Lifesciences
Guest speaker (Connected remotely):
K. Hayashida
Summary
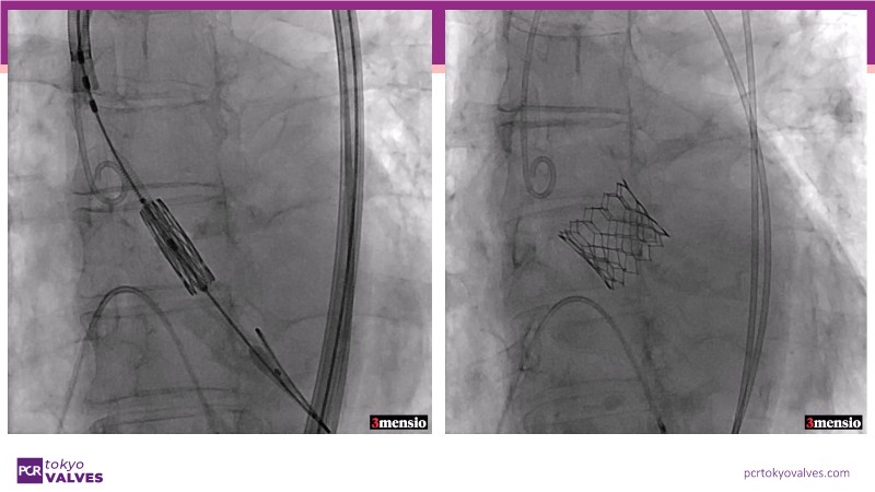
Explore the latest strategies for optimizing outcomes in Asian and international patients with small body size. Through case presentations, surgical experiences, and the latest data on device performance, gain valuable insights into treating aortic stenosis more effectively. Discover how these advancements can enhance patient care and improve procedural success.
Learning Objectives
- To discover the latest practice for patients with small body size from Asian and international experiences
- To understand how the latest device performs in the Asian patients
- To learn how these new data contribute to improving patient outcomes




