3624 results for «2246»

Filter By

3624 results

Best Abstracts of AICT-AsiaPCR 2025

10 Oct 2025 – From AICT-AsiaPCR 2025

This session showcases the best abstracts from AICT-AsiaPCR 2025, presenting cutting-edge research and clinical advancements in interventional cardiology. Topics include comparative evaluations of FFR techniques, predictive imaging markers, mechanical support in cardiogenic shock, novel diagnostic approaches, access strategies, TAVR outcomes, thrombectomy impact, STEMI management insights, and...

Expanding horizons in coronary calcified lesion management with intravascular lithotripsy

10 Oct 2025 – From AICT-AsiaPCR 2025

This session highlights advancements in managing coronary calcified lesions through intravascular lithotripsy using the Shockwave system. It discusses the unique mechanism of action for different calcium morphologies, reviews the latest clinical data, and addresses complex scenarios including diffuse lesions and challenging nodular or eccentric calcium deposits,...

Expanding horizons in coronary calcified lesion management with intravascular lithotripsy

New insights into mechanical circulatory support: Impella in CGS and protected PCI

10 Oct 2025 – From AICT-AsiaPCR 2025

This session provides in-depth insights into the evolving role of mechanical circulatory support, focusing on the use of Impella devices in cardiogenic shock (CGS) and protected high-risk percutaneous coronary interventions (PCI). Attendees will gain knowledge on patient selection criteria, the impact of the DanGer trial and...

Coronary interventions: access, devices and outcomes

10 Oct 2025 – From AICT-AsiaPCR 2025

This session delves into the latest developments in coronary interventions, highlighting advances in vascular access techniques, innovative devices, and clinical outcomes. Topics include endothelial progenitor cell dysfunction in restenosis, the efficacy of distal radial artery (DRA) puncture and sheathless catheters in underserved areas, the use of...

NSTEMI, complex ACS and anatomy

10 Oct 2025 – From AICT-AsiaPCR 2025

This session focuses on complex cases involving non-ST elevation myocardial infarction (NSTEMI), acute coronary syndromes (ACS), and challenging coronary anatomy. It presents unique clinical scenarios such as pediatric rescue PCI, management of significant distal lesions with proximal PCI, anatomical variations complicating interventions, mixed cardiovascular disease management,...

Transcatheter mitral valve-in-valve in prior degenerated mitral valve - LIVE Case

10 Oct 2025 – From AICT-AsiaPCR 2025

This educational session offers comprehensive guidance on transcatheter mitral valve-in-valve procedures for degenerated bioprosthetic mitral valves. Key learning points include valve sizing considerations, transeptal access techniques, and procedural steps distinct from standard transcatheter aortic valve implantation (TAVI), supported by detailed imaging analysis and a live case...

Transcatheter mitral valve-in-valve in prior degenerated mitral valve - LIVE Case

STEMI, thrombus and emergencies

10 Oct 2025 – From AICT-AsiaPCR 2025

Focused on STEMI and acute thrombotic emergencies, this session presents a series of challenging cases involving heavy thrombus burden, acute total occlusions, and complex primary angioplasty scenarios. It explores innovative approaches beyond stenting, the role of drug-coated balloons in plaque erosion, and strategic decision-making in managing...

Complex coronary challenges and anomalies

10 Oct 2025 – From AICT-AsiaPCR 2025

This session explores complex coronary challenges and anatomical anomalies encountered in clinical practice. Topics include management of thrombus showers from unexpected culprits, ultra-low contrast angioplasty in mesenteric ischemia, advanced bifurcation PCI techniques with IVUS guidance, and troubleshooting difficult stent delivery scenarios in calcified lesions and challenging...

Best Clinical Cases of AICT-AsiaPCR 2025

10 Oct 2025 – From AICT-AsiaPCR 2025

This session showcases the best clinical cases from AICT-AsiaPCR 2025, highlighting complex scenarios such as post-trauma ST-elevations, transcatheter aortic valve implantation complexities, CTO-PCI in high-bleeding-risk patients, and challenging device retrievals. It emphasizes clinical decision-making and innovative interventional techniques in diverse cardiac pathologies.

Unusual and high-stakes interventions

11 Oct 2025 – From AICT-AsiaPCR 2025

This session presents a series of unusual and high-stakes interventional cardiology cases that challenge conventional approaches. It includes critical scenarios such as narrow escapes from fatal outcomes, innovative solutions like complete percutaneous repair of adult tetralogy of Fallot, and management of valve complications, providing valuable insights...

Nursing role in mechanical circulatory support

11 Oct 2025 – From AICT-AsiaPCR 2025

This session addresses the critical nursing roles in managing patients requiring mechanical circulatory support (MCS). It covers essential concepts in hemodynamic interpretation, large bore vascular access complications, and their nursing management in critical care settings. The session includes practical guidance on vascular closure devices, wound care,...

Complex coronary interventions - Current day challenges and solutions

11 Oct 2025 – From AICT-AsiaPCR 2025

Addressing current challenges in complex coronary interventions, this session covers management strategies for CHIP patients, advanced techniques for highly calcified lesions, and principles for mechanical circulatory support application in high-risk PCI scenarios. It offers practical insights and case-based discussions to optimize safety and efficacy in contemporary...

Coronary complications and rescue cases

11 Oct 2025 – From AICT-AsiaPCR 2025

This compelling session addresses complex coronary complications and rescue cases encountered in the cath lab. Through a series of challenging case studies, it highlights critical scenarios such as silent coronary artery threats, procedural nightmares, coronary perforations, and innovative rescue strategies that transform high-risk situations into successful...

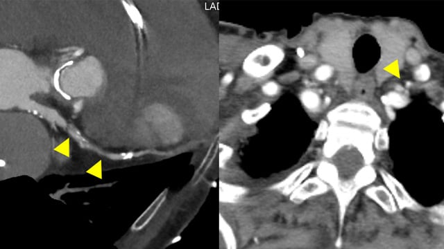
TAVI and aortic valve procedures

11 Oct 2025 – From AICT-AsiaPCR 2025

Focusing on transcatheter aortic valve interventions, this session covers a broad spectrum of complex cases including emergent TAV-in-SAV procedures, management of severely calcified bicuspid valves, zero-contrast TAVI techniques, and strategies for hostile anatomies. It provides valuable insights into procedural planning and follow-up to optimize patient care...

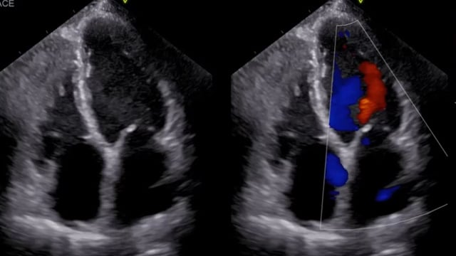
Tricuspid, mitral and structural innovations

11 Oct 2025 – From AICT-AsiaPCR 2025

This session presents a comprehensive overview of innovative interventions addressing complex structural heart conditions, including tricuspid and mitral valve diseases. Highlights include clinical experiences from the PESCAMI registry on mitral indirect annuloplasty, advanced percutaneous procedures for large pulmonary arteriovenous malformations, and transcatheter bicaval valve implantation for...

Bifurcations and left main interventions

11 Oct 2025 – From AICT-AsiaPCR 2025

Delve into the complexities of bifurcation and left main coronary interventions with this session focusing on challenging cases and advanced techniques. Topics include management of complications during drug-eluting stent deployment, Impella-supported orbital atherectomy in heavily calcified lesions, and PCI in patients with severe comorbidities such as...

The future is now: next-gen resorbable magnesium scaffold

11 Oct 2025 – From AICT-AsiaPCR 2025

This session highlights the emerging role of next-generation resorbable magnesium scaffolds in coronary interventions. It provides detailed insights into the FREESOLVE technology, its clinical applications, and the latest evidence from the BIOMAG-I study with three-year outcomes. Clinical experiences with FREESOLVE are discussed to inform on safety,...

Renal, inflammation and protection strategies in PCI

11 Oct 2025 – From AICT-AsiaPCR 2025

Delve into renal protection and inflammation management strategies in PCI, with a focus on renal blood flow indicators in chronic heart failure, the protective role of exosomes in myocardial ischemia, and efficacy of renal guard devices against contrast-induced nephropathy. The session also examines radial artery occlusion...

Retrievals, foreign bodies and entrapments

11 Oct 2025 – From AICT-AsiaPCR 2025

This session addresses the complexities of retrievals, foreign bodies, and entrapments in interventional cardiology. It presents clinical cases illustrating percutaneous retrieval techniques, management of catheter fractures, iatrogenic dissections, and innovative solutions for challenging scenarios. Emphasis is placed on precision, prevention strategies, and effective problem-solving to mitigate...

Valve and structural: challenges and innovations

11 Oct 2025 – From AICT-AsiaPCR 2025

This session explores innovative approaches and challenges in valve and structural interventions, including expanding transcatheter techniques for ruptured sinus of Valsalva closure and prophylactic chimney stenting in high-risk TAVI patients. It also presents long-term outcomes of left main PCI according to stenting methods, comparative strategies in...

Didn’t find what you were looking for?