3848 results for «2269»
3848 results
Complications of mitral TEER
18 Nov 2025 – From PCR London Valves 2025
This session addresses complications associated with mitral transcatheter edge-to-edge repair (TEER), showcasing innovative bailout methods such as snare-assisted retrieval of undeployed devices, managing leaflet perforations with latest-generation devices, cases of valve-adjacent tears, mechanical support considerations when pumps fail, and the clinical impact of iatrogenic fossa ovalis...
TAVI complications - Part 5
18 Nov 2025 – From PCR London Valves 2025
This session highlights acute and urgent complications following TAVI implantation, including myocardial infarction, cardiac arrest, and challenging catheterization scenarios. It provides detailed case analyses illustrating the limits of TAVI procedures and the critical importance of prompt recognition and intervention in adverse events, enhancing clinician preparedness for...
Complications of LAA closure - Avoidance and management
17 Nov 2025 – From PCR London Valves 2025
Focused on the prevention and management of complications in left atrial appendage (LAA) closure, this session covers recognition of key procedural risks, techniques for safe transseptal puncture, and strategies to prevent and address device embolisation, pericardial effusion, residual leaks, and device-related thrombus, ensuring procedural safety and...
How to manage complications of tricuspid interventions
18 Nov 2025 – From PCR London Valves 2025
This session focuses on the risks and management of complications arising from tricuspid valve repair and replacement procedures. Participants will learn preventive strategies during transcatheter interventions and become familiar with bailout techniques essential for resolving procedural complications effectively and safely.
Prevention and management of TAVI complications
17 Nov 2025 – From PCR London Valves 2025
This session is dedicated to the prevention and management of complications associated with transcatheter aortic valve implantation (TAVI). Participants gain critical knowledge on managing vascular access challenges, anticipating and preventing valve malposition, handling device embolism, and evaluating coronary obstruction risks with effective prevention and bailout strategies.
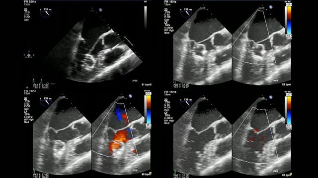
Advancing structural heart with 3D ICE and device guidance
17 Nov 2025 – From PCR London Valves 2025
This PCR London Valves 2025 session explores how 3D TEE, 3D intracardiac echocardiography (ICE), and DeviceGuide technology sharpen procedural accuracy, strengthen operator confidence, and streamline decision-making in real time.
You’ll see how clearly defined team roles enhance both safety and efficiency, and how thoughtful workflow integration can reduce...
Procedural imaging for tricuspid valve interventions
16 Nov 2025 – From PCR London Valves 2025
Master procedural imaging techniques essential for tricuspid valve interventions, including TOE views, multi-phase reconstruction, and 3D/4D steering. This session also covers quantification of residual tricuspid regurgitation post-device deployment and the appropriate use of intracardiac echocardiography.
UNIVERSAL: routine ultrasonography guidance for femoral vascular access for cardiac procedures - A randomized clinical Trial
19 Sep 2022
Ali Nazmi Calik provides his take on UNIVERSAL randomized clinical trial, which questioned whether routine ultrasonography guidance for CFA access for cardiac procedures reduces bleeding or vascular complications. This trial was presented by Sanjit S. Jolly during TCT 2022.

Author