17 May 2023
Next generation balloon expandable TAVR and thin strut BRS - Science and clinical update
Sponsored by Meril
Anchorperson:
A. Baumbach
Spokesperson:
P. Serruys
Summary
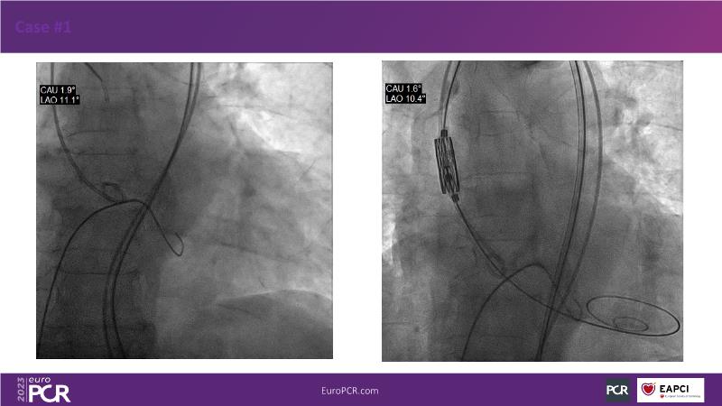
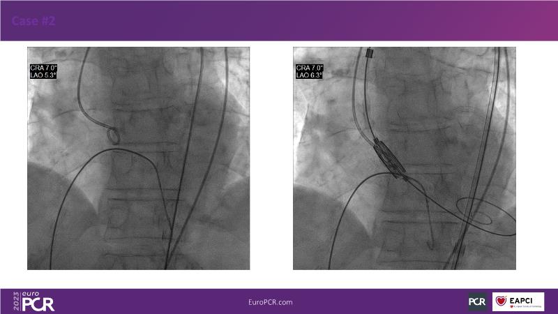
Join this session for an update on the science and clinical advancements in next-generation balloon-expandable transcatheter aortic valve replacement (TAVR) and thin strut bioresorbable scaffolds (BRS). Discover how these innovative technologies can improve clinical outcomes by exploring case-based challenging scenarios and learn effective strategies for tackling them.
Learning Objectives
- To highlight next generation transcatheter heart valve technologies that can contribute to better clinical outcomes
- To discuss case-based challenging scenarios and how to tackle them


