From access to annulus: overcoming challenging anatomies

Sponsored by Abbott

Spokesperson: W. alkashkari
Anchorperson: M. Al Mukhaini

Summary

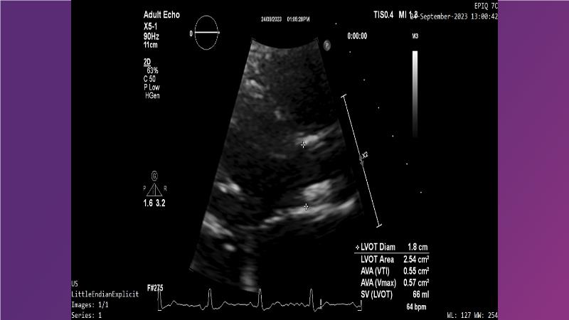
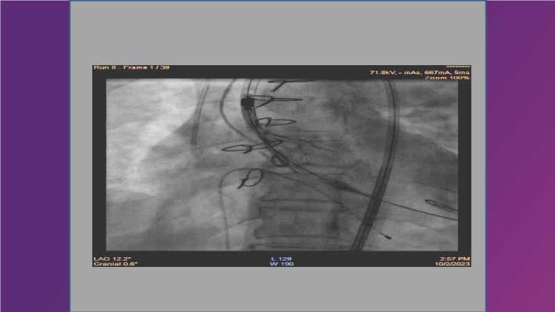
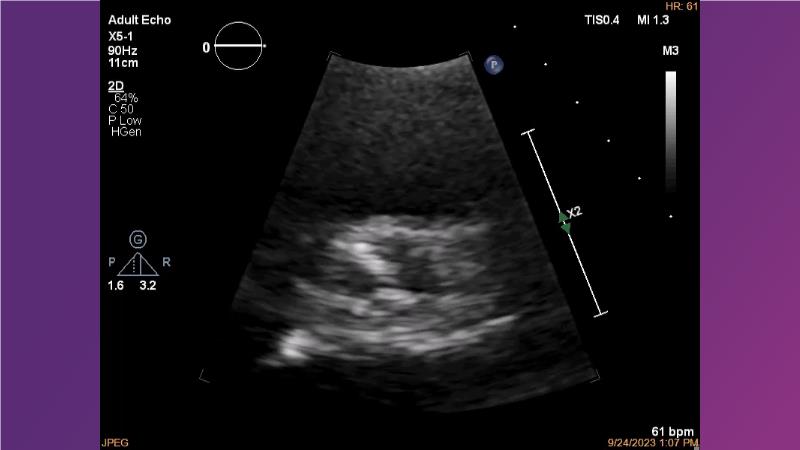
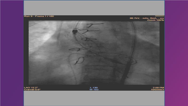
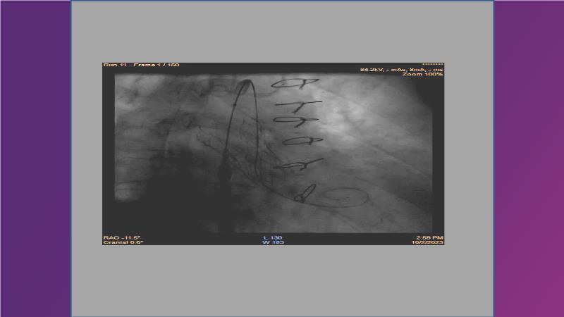
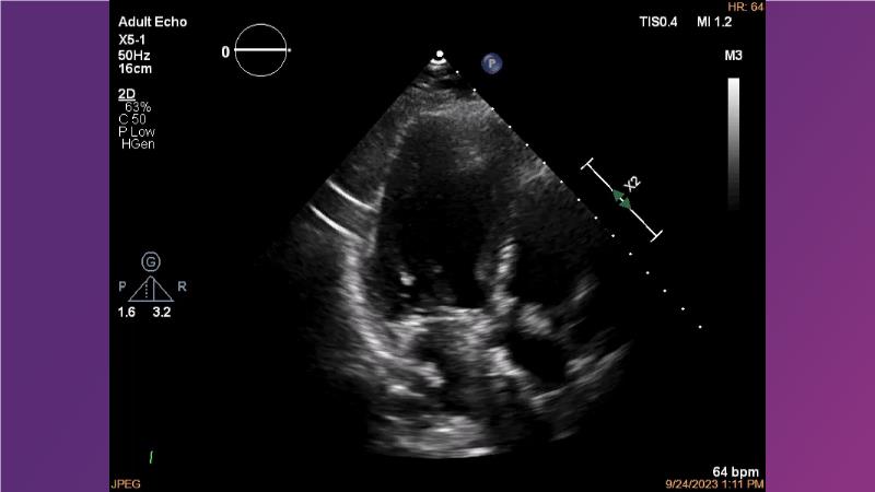
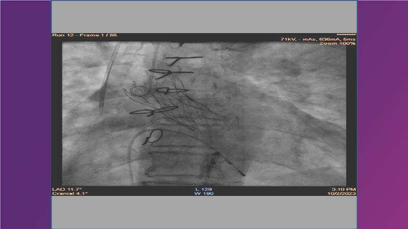
Gain expertise in selecting the appropriate TAVI device for achieving stable deployment in a 90-degree horizontal aorta. Discover techniques for ensuring smooth deliverability, particularly when navigating through tight and tortuous anatomies. Additionally, learn strategies to prepare for future coronary access, irrespective of the height of the left or right coronaries.

Learning Objectives

  • To learn how to select your TAVI device in order to achieve stable deployment in 90 degrees horizontal aorta
  • To witness smooth deliverabilty even crossing tight and tortous anatomy
  • To be ready for future coronary access regardless of the height of left or right coronaries