Newer generation self-expanding platform: technical optimisation for common clinical challenges

Sponsored by Medtronic

Discussants: K. Almerri, W. Shatila
Anchorperson: M. Traina
SHOW MORE

Summary

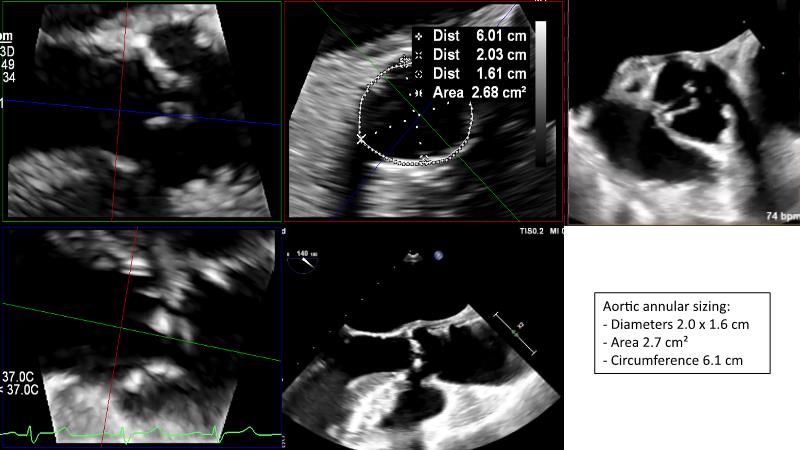
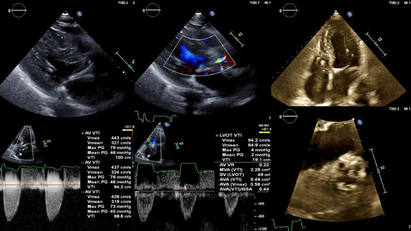
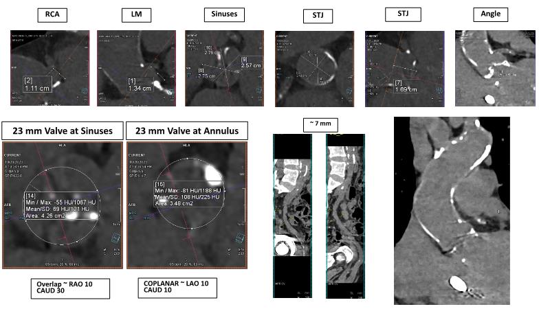
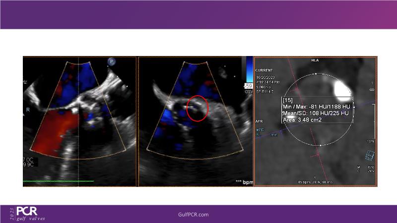
The primary focus of this GulfPCR-GIM 2023 session revolves around pre-procedural planning considerations, valve selection, and managing complex anatomies using both traditional self-expanding valves and the Evolut FX system. Additionally, the session aims to explore the work-up protocol for patients grappling with severe AS and advanced CKD, elucidate the algorithm for selecting the appropriate TAVR platform, discuss strategies to reduce contrast utilization, and highlight the distinctive advantages offered by the Evolut FX system.

Learning Objectives

  • To discuss challenges in TAVI procedural planning
  • To discuss valve choice in challenging anatomies
  • To learn more about optimization of valve deployment