20 Nov 2023
Essentials of lifetime management of TAVI patients
Sponsored by Meril
Anchorperson:
F. Hellig
Spokesperson:
A. Baumbach
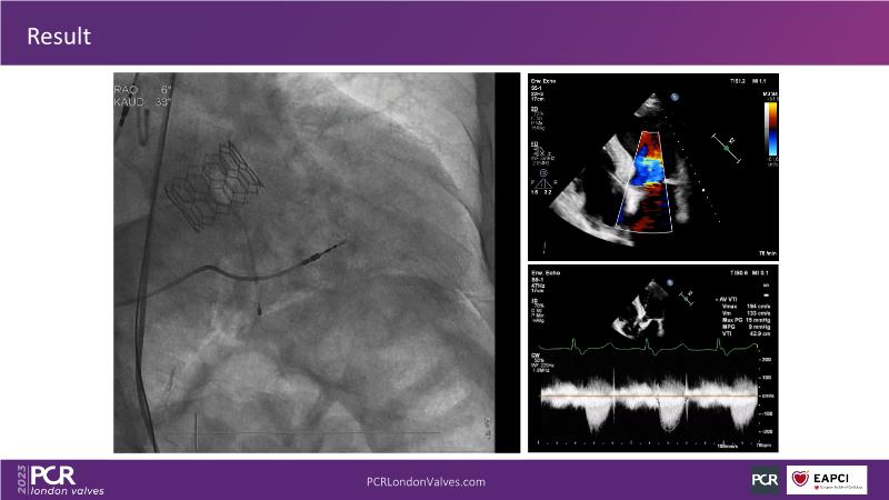
Summary
In this session, discover the key features and benefits of next-generation transcatheter heart valve technology. Gain insights into managing bicuspid and valve-in-valve interventions, and understand the procedural and clinical significance of intermediate and XL sizes in addressing unmet clinical needs.
Learning Objectives
- Learn about the next generation transcatheter heart valve technology key features, procedural and clinical benefits
- Understand the importance of predictable and precise commissural and coronary alignment for lifetime management of TAVI patients
- Understand procedural and clinical relevance of intermediate and XL sizes in addressing unmet clinical needs
