21 Nov 2023
Essentials of lifetime management of TAVI patients
Sponsored by Meril
Anchorperson:
P. Serruys
Spokesperson:
A. Baumbach
Summary
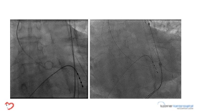
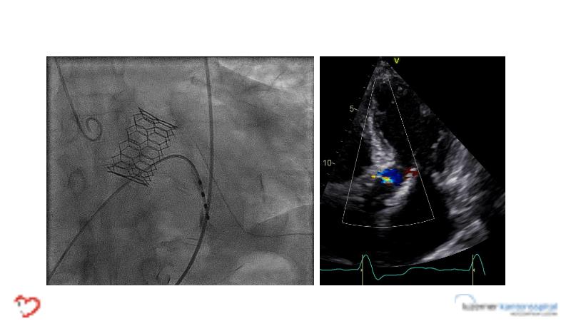
Consult this session if you want to learn about the next generation transcatheter heart valve technology key features, procedural and clinical benefits, to learn tips and tricks for managing bicuspid and valve-in-valve interventions, and to understand procedural and clinical relevance of intermediate and XL sizes in addressing unmet clinical needs.
Learning Objectives
- To learn about the next generation transcatheter heart valve technology key features, procedural and clinical benefits
- To learn tips and tricks for managing bicuspid and valve-in-valve interventions
- To understand procedural and clinical relevance of intermediate and XL sizes in addressing unmet clinical needs

