21 Nov 2023
Facing the challenges of resource shortages - An outlook into the future of TAVI?
Sponsored by Edwards Lifesciences
Anchorperson:
T. Cuisset
Spokesperson:
F. Saia
Summary
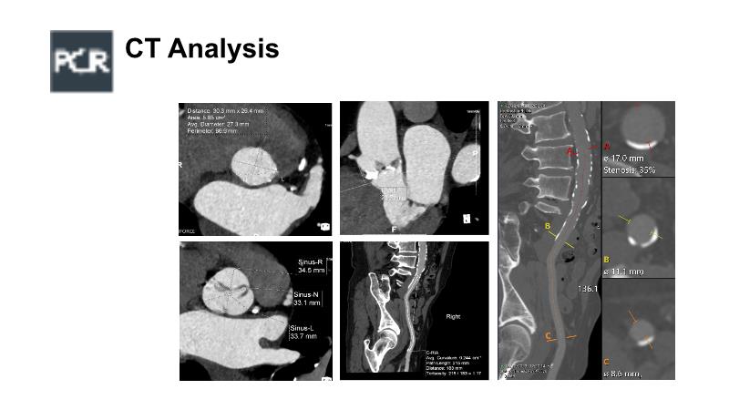
Join this session to discover strategies for optimizing care quality and patient safety, especially in resource-constrained environments. Gain insights into variations in TAVI patient treatment across European countries, understanding the associated consequences. Engage in discussions exploring potential solutions to ensure long-term, high-quality patient care despite challenges posed by limited resources.
Learning Objectives
- To learn how to optimise the quality of care and patient safety even in times of limited resources
- To appreciate the differences in the treatment of patients with TAVI in several European countries and to understand the consequences
- To discuss possible solutions that ensure the best possible patient care in the long term despite the challenges of limited resources




