10 Oct 2025
Redefining precision and performance in TAVI: advancing clinical outcomes with the Evolut FX+ system
Sponsored by Medtronic
Anchorperson:
M. Lee
Spokesperson:
G. H. Choo
Summary
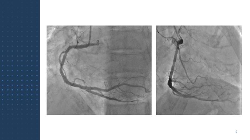
Delve into advanced transcatheter aortic valve implantation (TAVI) with the Evolut FX plus system, focusing on its application in patients with small annulus and coronary artery disease (CAD). This session details step-by-step deployment, patient selection, imaging analysis, and highlights the distinctions from the previous Evolut R platform to improve clinical outcomes.
Learning Objectives
- Highlight the use of Evolut FX plus platform for Small Annulus and CAD
- Step by Step Deployment of Evolut FX plus system
- Highlight the differences with the Evolut R platform
