29 Sep 2025
Myval transcatheter heart valve series - Align for the future with novel design, data and daily clinical experience
Sponsored by Meril
Anchorperson:
A. Baumbach
Summary
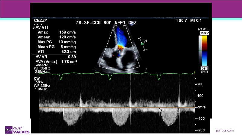
Join this comprehensive session to explore the Myval transcatheter heart valve series, featuring the latest clinical updates from two large randomized controlled trials—Landmark and Compare TAVI. Learn from real-world experiences, including recorded cases, and understand how these innovations translate to complex patient demographics in daily TAVI practice.
Learning Objectives
- To learn from the best-in-class TAVI practice
- To discover latest clinical updates from 2 large randomised controlled trials
- To learn about the new Myval transcatheter heart valve series



