17 Nov 2025
Mastering complex TAVI: overcoming key clinical challenges and achieving optimal outcomes with the Evolut FX+
Sponsored by Medtronic
Facilitators:
M. Adamo, M. Barbanti
Summary
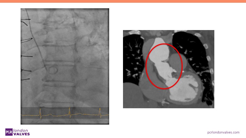
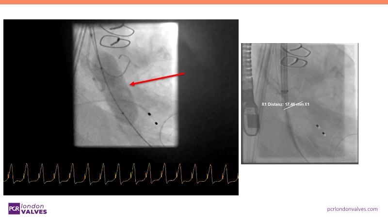
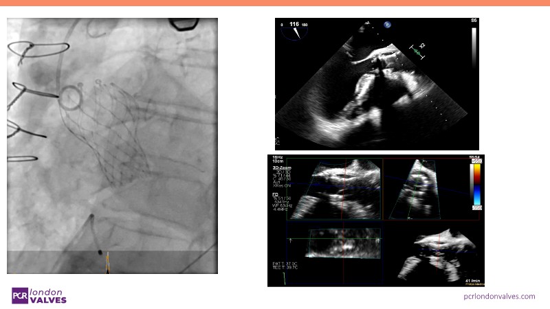
This session offers an in-depth review of complex TAVI cases, focusing on overcoming clinical challenges and achieving optimal outcomes with the Evolut FX+ device. Participants will learn about recent advances in TAVI indications for younger and asymptomatic patients, strategies for managing TAV in surgical aortic valve (SAV) patients including redo TAVI, and explore technological innovations designed to address complex anatomical scenarios.
Learning Objectives
- To hear about recent advances and indications for TAVI in young and asymptomatic patients
- To learn how to anticipate the challenges of TAV in SAV and how to perform a redo TAVI
- To discern the latest technological evolutions that enable the treatment of patients with complex anatomy

