
Vinícius Esteves
Latest contributions
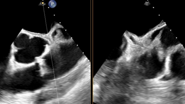
Mastering tricuspid TEER - LIVE Case
12 Sep 2025 – From PCR Rio Valves 2025
A 77-year-old male with atrial fibrillation and chronic kidney disease presented with symptomatic severe atrial tricuspid regurgitation.He underwent implantation of two TriClip XTW devices (antero-septal and postero-septal) under general anesthesia, guided by transesophageal echocardiography (TEE).
LIVE Educational Case from Bordeaux University Hospital - Bordeaux, France
Navigate the video...

Transcatheter tricuspid valve replacement - Where are we in Latin America?
12 Sep 2025 – From PCR Rio Valves 2025
Stay abreast of the latest advances in transcatheter tricuspid valve replacement (TTVR) across Latin America. This session highlights orthotopic implant technologies, patient selection criteria, early clinical outcomes, and discusses future perspectives including training, technology access, and regional clinical impact.

Precision in mitral TEER
11 Sep 2025 – From PCR Rio Valves 2025
Join this live educational session from Bordeaux University Hospital to gain expert insights into mitral transcatheter edge-to-edge repair (TEER). Explore optimal timing and clinical decision-making for mitral regurgitation treatment, and discover how the PASCAL Precision system enhances procedural precision across diverse mitral anatomies. Witness real-time strategies,...
Welcome to PCR Rio Valves 2025
11 Sep 2025 – From PCR Rio Valves 2025
Watch the opening ceremony of the very first edition of PCR Rio Valves! Experience the excitement as this inaugural 2-day Course kicks off. Hear introductions in English, Portuguese, and Spanish, meet the Course Directors, Programme Committee, and Faculty, explore the rich program in detail, and get...

Redefining and optimising LAA closure - LIVE Case
11 Sep 2025 – From PCR Rio Valves 2025
Supported by an unrestricted educational grant from Boston Scientific
A 78-year-old woman with atrial fibrillation and obesity (BMI 34.3), normal left ventricular function, CHADS-VASCs 5 and HAS-BLED 4, presented with severe gastrointestinal bleeding.
She underwent implantation of a Watchman FLX™ pro under local anesthesia via two right femoral...

Innovation session: new techniques and devices in Latin America
11 Sep 2025 – From PCR Rio Valves 2025
Join this innovation-focused session highlighting new structural heart devices and techniques emerging from Latin America. Review real-world cases including mechanical valve re-intervention, TMVR, novel mitral TEER devices, and first clinical experiences with a new self-expandable transcatheter aortic valve in small annuli. Gain valuable procedural and clinical...

The complexity of transcatheter tricuspid valve interventions
11 Sep 2025 – From PCR Rio Valves 2025
Explore the complexities of transcatheter tricuspid valve interventions through a series of case studies tackling challenging clinical scenarios. Discover therapeutic options, including TEER in patients with pacemaker leads, imaging strategies with ICE, transcatheter tricuspid valve replacement using Evoque and LuxValve devices, as well as simpler approaches...

The many faces of TTVR
21 May 2025 – From EuroPCR 2025
Discover the diverse clinical scenarios of transcatheter tricuspid valve replacement (TTVR). This session presents complex cases including acute right ventricular afterload mismatch, combined pulmonary and tricuspid valve interventions in carcinoid heart disease, and challenges in dilated cava anatomy, showcasing the expanding frontiers of TTVR therapy.

TAVI for asymptomatic aortic stenosis after EARLY TAVI - TAVI and coronary artery disease after NOTION-3
21 May 2025 – From EuroPCR 2025
Critically assess the clinical implications of the EARLY TAVI and NOTION-3 trials with a focus on asymptomatic aortic stenosis and concomitant coronary artery disease. This session integrates recent evidence into patient-centered care pathways, offering case-based insights for optimizing timing and management strategies in TAVI patients.

How to deal with secondary mitral regurgitation in 2025?
20 May 2025 – From EuroPCR 2025
Delve into the evolving management of secondary mitral regurgitation, and the critical role of the Heart Team. This session replay presents the latest clinical trials, treatment guidelines, and a case-based discussion covering medical and interventional strategies, heart failure optimization, frailty assessment, and advanced imaging techniques.

Rapid-Fire - Transcatheter tricuspid valve replacement
25 Nov 2024 – From PCR London Valves 2024
Dive into a rapid-fire session showcasing the latest advancements in transcatheter tricuspid valve replacement (TTVR). Explore a case of using the LuX TTVR system to salvage a single leaflet device attachment TriClip, a unique case combining multiple interventional strategies for severe tricuspid regurgitation, and the first...

Rapid-Fire - Rare and unusual (Part 2)
25 Nov 2024 – From PCR London Valves 2024
Delve into a series of rare and unusual cases selected from the PCR London Valves 2024 Clinical Cases submissions. Explore a wide range of complex interventional scenarios, including edge-to-edge strategy failure, a challenging case of LAA occlusion, a large aortic pseudoaneurysm, and more. This rapid-fire session...

New technology for transcather valve replacement - LIVE case
25 Nov 2024 – From PCR London Valves 2024
Watch a series of recorded cases showcasing advanced valve therapies and innovative techniques:
- A 70-year-old man with Marfan syndrome (treated by Bentall and CABG in 2012), impaired LV function (35%), CRT-D, and symptomatic severe primary MR (A2 prolapse with calcification) underwent implantation of an Intrepid valve under...

Mitral valvuloplasty - A new look at an old procedure
24 Nov 2024 – From PCR London Valves 2024
Want to sharpen your expertise in mitral valvuloplasty? This video gets straight to the point: learn the best technical approaches, tackle tough clinical decisions with confidence and discover how to manage mitral stenosis during pregnancy!
Through the lens of a compelling real-world case—a 32-year-old pregnant patient with...

Tricuspid valve intervention - Current devices and future perspectives
24 Nov 2024 – From PCR London Valves 2024
Curious about how to tackle the challenges of tricuspid valve interventions? This video dives into the latest devices and strategies, showing you how to select the right approach for each patient.
Watch experienced practitioners treat real-world cases, from atrial functional regurgitation to large annulus gaps and complex...

Coronary issues before, during and after TAVI
16 May 2024 – From EuroPCR 2024
This session presents a series of challenging clinical cases highlighting the complex interplay between coronary artery disease and transcatheter aortic valve implantation (TAVI). Attendees will witness real-world scenarios, including high-risk PCI with concomitant severe aortic stenosis, the management of degenerated aortic bioprostheses with the risk of...

Valve-in-valve: utility of splitting devices
15 May 2024 – From EuroPCR 2024
This session focuses on the use of specialized splitting devices for transcatheter aortic valve-in-valve procedures. It features a case series demonstrating the application of a dedicated splitting device in failed TAVI valves, as well as the use of the BASILICA technique for transcatheter aortic valve replacement....

TAVI - Coronary complications
21 Nov 2023 – From PCR London Valves 2023
Explore challenging situations in this session: witness the rare occurrence of coronary embolization resulting from a fractured biological surgical valve in an aortic valve-in-valve procedure, uncover the complexities surrounding the late presentation of cardiogenic shock after TAVR, navigate the unusual challenge of intermittent left main obstruction caused...

Rapid-fire - Combined structural interventions
21 Nov 2023 – From PCR London Valves 2023
Consult this session unraveling the nuances of combined structural interventions, and uncover a unique case of Platypnea-Orthodeoxia syndrome following TAVI, navigate through the complexities of combined TAVR and TMVR in rheumatic heart disease, explore the optimal timing for M-TEER after TAVR in mitral regurgitation, and more!

Complex transcatheter mitral and tricuspid interventions - Recorded cases
20 Nov 2023 – From PCR London Valves 2023
This session features two compelling cases of percutaneous annuloplasty for advanced heart failure and massive tricuspid regurgitation:
- Left ventricular restoration in heart failure with reduced ejection fraction
A 56-year-old male, with type 2 diabetes, hypertension and chronic kidney disease, presented a symptomatic severe LV dysfunction (26%) and severely...

TAVI for aortic regurgitation
19 Nov 2023 – From PCR London Valves 2023
In the face of aortic regurgitation, learn about various TAVI rescue techniques in this session, including valve implantation in the descending aorta, TAVI treatment of aortic regurgitation with cardiogenic shock, and TAVI management of aortic regurgitation in a patient with a left ventricular assist device.
