17 May 2023
Tailored device choice and implant technique to optimise TAVI procedural outcomes
Sponsored by Medtronic
Anchorperson:
N. Dumonteil
Spokesperson:
M. Götberg
Summary
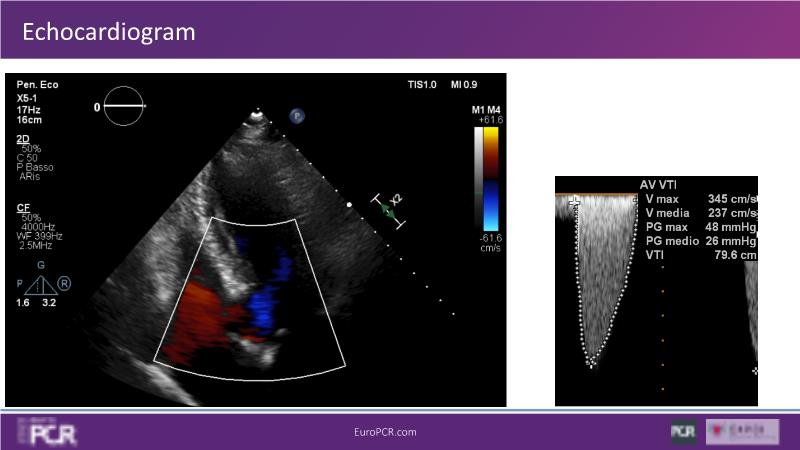
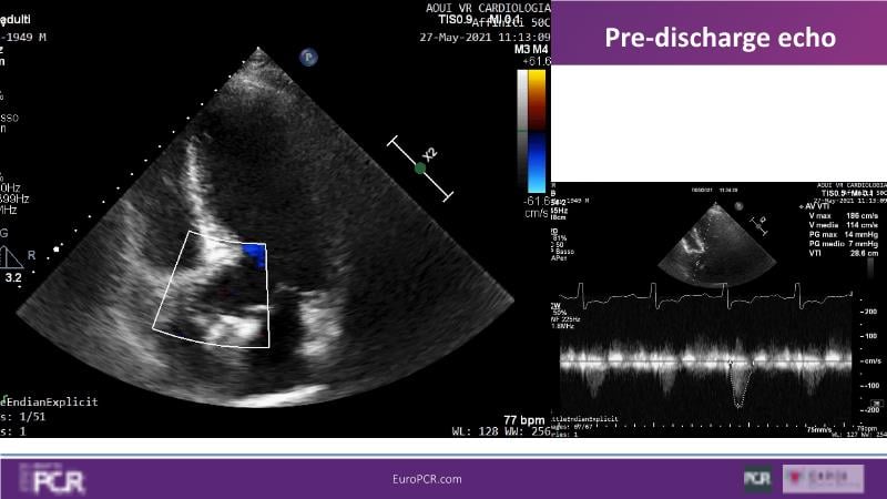
Discover the key factors to consider in selecting the optimal valve and implant technique for transcatheter aortic valve implantation (TAVI) to achieve optimal procedural outcomes. Gain insights into the impact of device choice and implantation technique on coronary access following TAVI and learn valuable strategies for tailoring your TAVI technique to complex scenarios, including bicuspid aortic valves, large and calcified anatomies, and ensuring coronary access.
Learning Objectives
- To learn what to consider when determining valve selection for TAVI
- To appreciate the impact of device choice and implantation technique on coronary access after TAVI
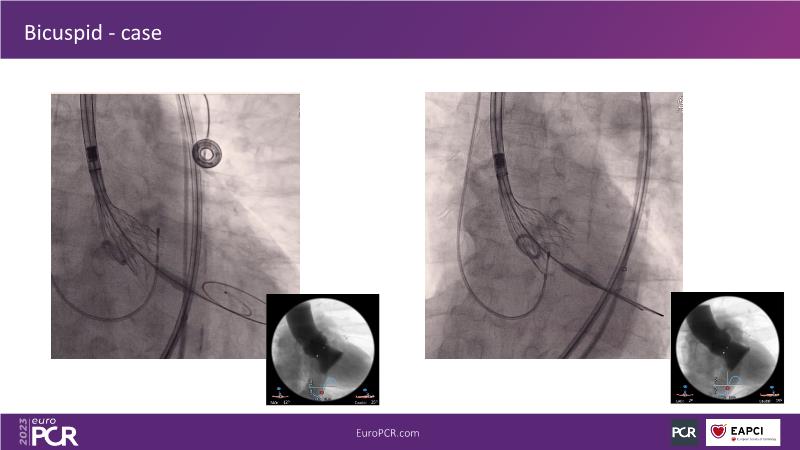
- To learn how to tailor your TAVI technique to complex situations: bicuspid aortic valves, large, calcified anatomies and coronary access



