04 Oct 2024
Cracking new horizons across all calcium morphologies
Sponsored by Shockwave Medical
Anchorperson:
G. G Toth
Summary
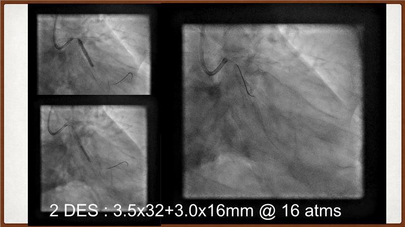
This session explores the challenges of treating calcified lesions during percutaneous coronary intervention (PCI). Learn how calcium can impede stent deliverability and expansion, potentially leading to thrombosis and restenosis. Discover the innovative Shockwave IVL technology, which uses sonic pressure waves to fracture calcium without harming surrounding tissues. The discussion also covers the ongoing challenges of calcified nodules, the importance of intracoronary imaging, and how a layered approach with multiple devices can enhance treatment outcomes. Finally, see how the IVL Shockwave C2+ device facilitates targeted energy delivery for effective PCI.
Learning Objectives
- To understand the science behind the mechanism of action of intravascular lithotripsy (IVL) for the treatment of calcified lesions
- To learn about the role of intravascular imaging (IVI) in the treatment of calcific lesions
- To uncover practical tips and techniques for IVL in challenging calcified lesions: diffuse, ostial LAD bifurcations and eccentric/calcified nodules
