16 Nov 2025
Getting the full potential of the supra-annular valve in a changing landscape
Sponsored by Medtronic
Summary
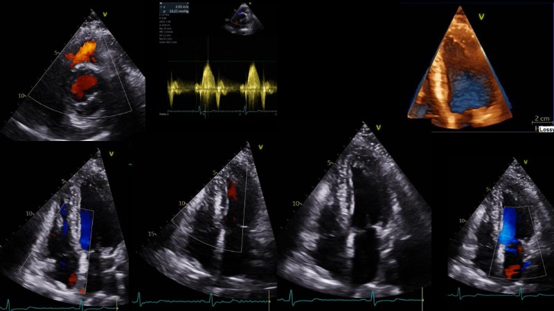
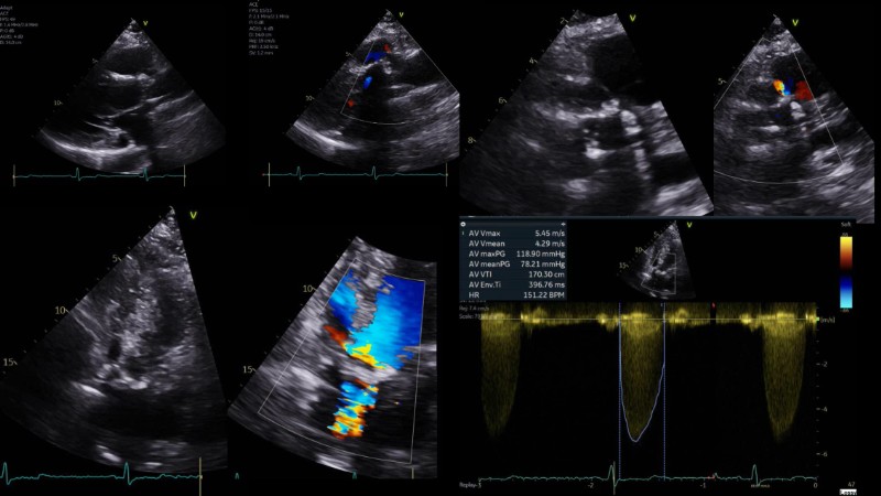
This session explores the evolving landscape of transcatheter aortic valve implantation (TAVI) with a focus on supra-annular valve technology. It covers techniques for achieving commissural alignment, considerations for small aortic annuli, and advantages in treating bicuspid aortic valve disease, supported by clinical data and illustrative cases.
Learning Objectives
- To learn how to perform TAVI resulting in commissural alignment and easier coronary access
- To learn about TAVI considerations when treating patients with a small aortic annulus - with a review of supporting clinical data
- To learn about the advantages of TAV with supra-annular leaflet position when treating patients with a bicuspid aortic valve - with a review of supporting clinical data

