Case study: a coronary Type III perforation during left anterior descending CTO-PCI
Complications - Coronary perforation
Consult this complications case from EuroPCR 2018 by M. Pennacchi from the San Giovanni Evangelista Hospital, Tivoli - Italy if you want to learn how to manage a Type III coronary perforation together with sudden cardiac tamponade.
2-days after primary PCI, patient was scheduled for left anterior descending CTO-PCI
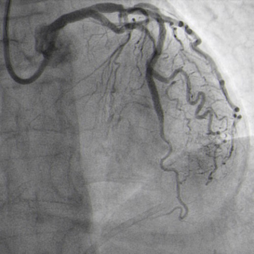
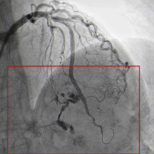
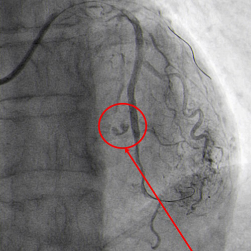
Left anterior descending CTO
Left anterior descending CTO
Procedure
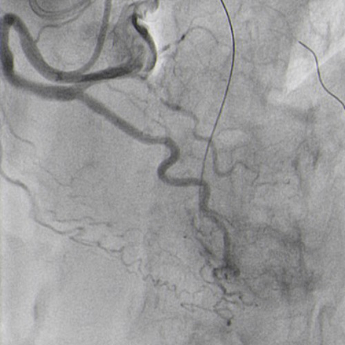
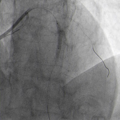
Double radial access with guiding catheter 6F JR 4.0 and sheatless 7.5F PB 3.5. Controlateral injection to check antegrade wire position via collaterals (Figure 4.1).
Antegrade guide wire position (Figure 4.1)
Antegrade guide wire position (Figure 4.1)
CTO crossed with Miracle 6g, after unsuccessful attempts with Sion and Pilot 150. Floppy wire in diagonal branch to improve support (Figure 4.2).
Guide wires to LAD and diagonal branch (Figure 4.2)
Guide wires to LAD and diagonal branch (Figure 4.2)
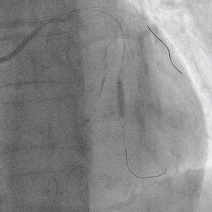
2.0 x 20 mm NC balloon predilatation (Figure 5.1)
Predilatation NC balloon (Figure 5.1)
Predilatation NC balloon (Figure 5.1)
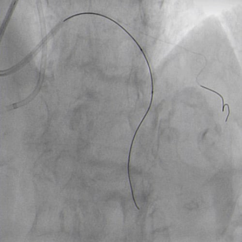
Miracle exchanged with floppy wire to LAD. Guide wires position checked via controlateral injection (Figure 5.2).
Guide wires position via contralateral injection (Figure 5.2)
Guide wires position via contralateral injection (Figure 5.2)
NC 2.5 x 30 mm balloon predilatation and 2 DES implantation in overlapping (Figure 6.1).
Predilatation with NC balloon (Figure 6.1)
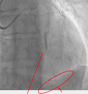
After overlapping post-dilatation, Type III coronary perforation and sudden cardiac tamponade occurred (Figure 6.2).
Type III perforation and cardiac tamponade (Figure 6.2)
Stop coronary flow as soon as possible with balloon inflation technique. Implementation of pericardiocentesis, no Protamine (Figure 7.1).
Quick pericardiocentesis with 6F femoral sheat and balloon dilatation to stop coronary flow (Figure 7.1)
Quick pericardiocentesis with 6F femoral sheat and balloon dilatation to stop coronary flow (Figure 7.1)
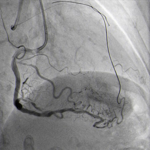
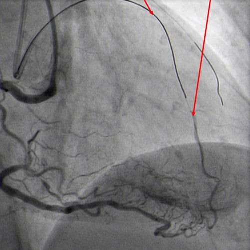
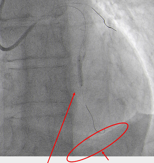
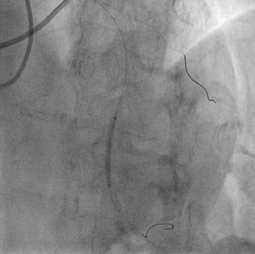
JR 4.0 guiding catheter exchanged with JL 4.0 to achieve left main (ping-pong) and position a parallel wire in left anterior descending (Figure 7.2). In the first wire we have the balloon, in the second wire a covered stent, but the perforation resolved only with balloon dilatation so we avoided, at this time to implant a covered stent.
JR 4.0 guiding catheter exchanged with JL 4.0 to achieve left main ping-pong (Figure 7.2).
JR 4.0 guiding catheter exchanged with JL 4.0 to achieve left main ping-pong (Figure 7.2).
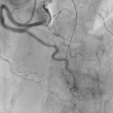
After several minutes no contrast protrusion, the perforation appeared resolved, so the second wire in the JL catheter was removed and PCI completed with another DES implantation in proximal LAD (Figure 8.1).
Additional DES implanted to proximal LAD (Figure 8.1)
Additional DES implanted to proximal LAD (Figure 8.1)
The angiographic control showed mild perforation recurrence (Figure 8.2).
Perforation still present (Figure 8.2)
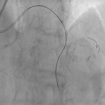
Implantation of the covered stent (Figure 9).
Covered stent implanted (Figure 9)
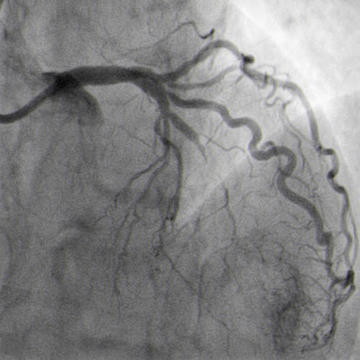
Final angiographic result
Final result with TIMI III flow, no leak (Figure 10)
Final result with TIMI III flow, no leak (Figure 10)
Balloon inflation to reduce the coronary blood effusion after coronary perforation allow to gain precious time to stabilise the patient with pericardiocentheses and Ping-Pong technique
Control of the perforation is mandatory with long angiographic aquisition
Id tamponnade occur due to coronary perforation, cover stent implantation should be discuss even if we could apparently treat the perforation with a conservative approach
26 Jun 2019
Case study: a coronary Type III perforation during left anterior descending CTO-PCI
Complications - Coronary perforation
Consult this complications case from EuroPCR 2018 by M. Pennacchi from the San Giovanni Evangelista Hospital, Tivoli - Italy if you want to learn how to manage a Type III coronary perforation together with sudden cardiac tamponade.
Author
Interventional cardiologist / Cardiologist
Rome, Italy
Latest contributions
TAVI embolisation - Part 2 Case study: a coronary Type III perforation during left anterior descending CTO-PCIBy M. Pennacchi
Clinical presentation
Left anterior descending CTO
Left anterior descending CTO
Procedure
Double radial access with guiding catheter 6F JR 4.0 and sheatless 7.5F PB 3.5. Controlateral injection to check antegrade wire position via collaterals (Figure 4.1).
Antegrade guide wire position (Figure 4.1)
Antegrade guide wire position (Figure 4.1)
CTO crossed with Miracle 6g, after unsuccessful attempts with Sion and Pilot 150. Floppy wire in diagonal branch to improve support (Figure 4.2).
Guide wires to LAD and diagonal branch (Figure 4.2)
Guide wires to LAD and diagonal branch (Figure 4.2)
2.0 x 20 mm NC balloon predilatation (Figure 5.1)
Predilatation NC balloon (Figure 5.1)
Predilatation NC balloon (Figure 5.1)
Miracle exchanged with floppy wire to LAD. Guide wires position checked via controlateral injection (Figure 5.2).
Guide wires position via contralateral injection (Figure 5.2)
Guide wires position via contralateral injection (Figure 5.2)
NC 2.5 x 30 mm balloon predilatation and 2 DES implantation in overlapping (Figure 6.1).
Predilatation with NC balloon (Figure 6.1)
After overlapping post-dilatation, Type III coronary perforation and sudden cardiac tamponade occurred (Figure 6.2).
Type III perforation and cardiac tamponade (Figure 6.2)
Stop coronary flow as soon as possible with balloon inflation technique. Implementation of pericardiocentesis, no Protamine (Figure 7.1).
Quick pericardiocentesis with 6F femoral sheat and balloon dilatation to stop coronary flow (Figure 7.1)
Quick pericardiocentesis with 6F femoral sheat and balloon dilatation to stop coronary flow (Figure 7.1)
JR 4.0 guiding catheter exchanged with JL 4.0 to achieve left main (ping-pong) and position a parallel wire in left anterior descending (Figure 7.2). In the first wire we have the balloon, in the second wire a covered stent, but the perforation resolved only with balloon dilatation so we avoided, at this time to implant a covered stent.
JR 4.0 guiding catheter exchanged with JL 4.0 to achieve left main ping-pong (Figure 7.2).
JR 4.0 guiding catheter exchanged with JL 4.0 to achieve left main ping-pong (Figure 7.2).
After several minutes no contrast protrusion, the perforation appeared resolved, so the second wire in the JL catheter was removed and PCI completed with another DES implantation in proximal LAD (Figure 8.1).
Additional DES implanted to proximal LAD (Figure 8.1)
Additional DES implanted to proximal LAD (Figure 8.1)
The angiographic control showed mild perforation recurrence (Figure 8.2).
Perforation still present (Figure 8.2)
Implantation of the covered stent (Figure 9).
Covered stent implanted (Figure 9)
Final angiographic result
Final result with TIMI III flow, no leak (Figure 10)
Final result with TIMI III flow, no leak (Figure 10)
Key messages
This case study is available in the EuroPCR 2018 session on Complications during CTO procedures: "Coronary Type III Perforation during Left Anterior Descending CTO-PCI".
Continue reading
Type I coronary perforation Type II coronary perforation Type III coronary perforation Type IV coronary perforation Type V coronary perforation Post-procedural care after coronary perforationAdditional Links
Link 1: inflate balloon at perforation site Link 2: How to implant a covered stent Link 3: Different covered stent brands Link 4: Thrombin injection Link 5: Coil Embolisation Link 6: Autologous subcutaneous fat embolisation Double guide catheters technique References: Coronary perforation