Advertisement
PCR SUBMISSIONS
PCR Rio Valves and the PCR Fellows Course in Paris Calls for submissions are open! Share your Scientific Abstracts, Clinical Cases or Complication Cases and take the stage in Rio de Janeiro or Paris! Advance your career and help shape the future of the field - don’t miss this opportunity.
Read & Share cases
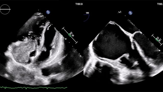
Transcatheter tricuspid valve replacement in carcinoid heart disease: A multimodality‑guided, patient-centered approach
A 74-year-old woman with carcinoid syndrome presents with torrential tricuspid regurgitation with carcinoid valve involvement, while surgical risk is deemed high due to age, frailty, and systemic disease. How would your Heart Team approach this complex case?
When a surgical valve needs a second life
A 79-year-old patient with a degenerated surgical aortic valve presents unique challenges. Discover how the team navigated diagnosis, risk assessment, and interventional strategies to restore valve function safely.
Mixed mitral valve disease in an irradiated chest with eggshell-like left atrium
A rare and complex TMVR case: 40-year-old patient, heavily calcified mitral annulus and eggshell left atrium—how would you plan and treat this challenging anatomy?